At Meta Dental Group, we offer advanced solutions to treat gum recession using the Chao Pinhole Surgical Technique (PST)—a modern, minimally invasive procedure designed to restore your gumline with minimal discomfort and fast recovery.
Our team is committed to providing gentle, patient-focused care using the latest dental technologies to help you maintain a healthy and confident smile.
What Is Gum Recession?
Gum recession occurs when the gum tissue around the teeth gradually pulls back, exposing the tooth roots. This condition may develop due to:
Periodontal (gum) disease
Aggressive tooth brushing
Aging and natural gum changes
Genetics or thin gum tissue
If left untreated, gum recession can lead to tooth sensitivity, increased risk of root decay, and long-term damage to the supporting structures of the teeth.
Why Treat Gum Recession?
Healthy gums are essential for long-term oral health. When tooth roots become exposed, they are more vulnerable to:
Tooth sensitivity
Root cavities
Gum inflammation
Progressive bone and tissue loss
Early treatment helps protect your teeth and restore a balanced, natural gumline.
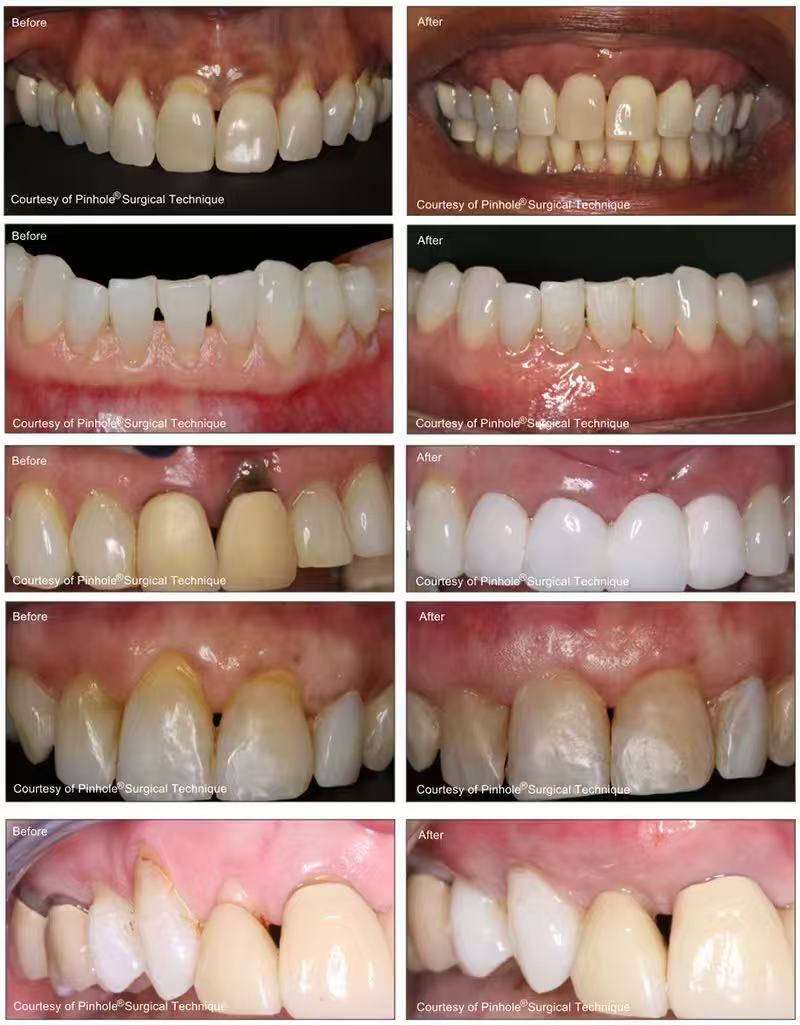
Chao Pinhole Surgical Technique (PST): A Modern Solution
Developed by Dr. John Chao, the Chao Pinhole Surgical Technique offers a minimally invasive alternative to traditional gum grafting.
Unlike conventional grafting procedures that require donor tissue and sutures, PST uses a tiny pinhole entry point to gently reposition your existing gum tissue over the exposed roots.
This innovative technique allows patients to achieve excellent results with less discomfort and faster healing.
How the Procedure Works
1. Small Pinhole Entry
A tiny opening is created in the gum tissue using a specialized needle.
2. Tissue Repositioning
Specialized instruments are used to gently loosen and guide the gum tissue over the exposed root surface.
3. No Grafts or Sutures
The procedure does not require scalpels, tissue grafts, or stitches.
Benefits of the Pinhole Surgical Technique
Minimally invasive procedure
Little to no sutures
Reduced post-treatment discomfort
Faster recovery compared to traditional grafting
Natural-looking gumline restoration
Long-lasting results
Many patients return to normal daily activities shortly after treatment.
Advanced Gum Care at Meta Dental Group
At Meta Dental Group, we combine modern techniques with compassionate care to help restore both the health and appearance of your smile.
If you are experiencing gum recession or tooth sensitivity, our team can evaluate whether the Chao Pinhole Surgical Technique is the right option for you.
Contact us today to schedule a consultation and learn how we can help restore your gums and protect your smile.
Our Advanced Dental Services
Restore your natural gum line without traditional surgery. At Meta Dental Group, our pinhole technique treats recession gently, helping you achieve a healthier, more confident smile with minimal downtime.






